Règles de visite à la clinique
Clinique Dentaire Corona Dental
08015, Barcelone
c/Entença, 69
Métro: Rocafort L1
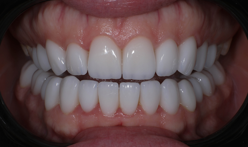
Accueil / Dentisterie esthétique / Facettes en céramique

Facettes en céramique

 

Facettes en céramique фото 1

Comment faire un sourire parfait en peu de temps ?

Installez des facettes en céramique à Barcelone ! Dans la clinique Corona Dental, nous recréons l'anatomie complète
chaque dent.

Les facettes en céramique à Barcelone sont de fines superpositions qui servent à améliorer la zone du sourire. Ils sont installés sur le devant de la dent et la restaurent.

6 PROBLÈMES RÉSOLUS :
– Dommages à l'émail. Couvre les éclats et les fissures.
- Décoloration des dents : redonner la teinte à une dent devenue plus foncée que les autres (par exemple, après l'ablation d'un nerf) ou rendre tout le sourire plus blanc.
- Léger encombrement et courbure des dents. Dans certains cas, vous pouvez vous passer d'accolades.
- Petites dents. Corrigez la longueur, la largeur et la forme des dents.
- Usure de l'émail. Maintenir les dents en bon état, en évitant qu'elles ne raccourcissent.
— Sensibilité de l'émail. Les facettes ne laissent pas passer les irritants.

À la clinique Corona Dental, nous installons des facettes en composite et en céramique. Fabriqué directement sur les dents. Nous appliquons le matériau composite couche par couche sur la surface de la dent préparée jusqu'à ce que le défaut soit complètement éliminé.
Le composite est fermement fixé sur la dent grâce à la connexion "monolithique" avec ses tissus.
Similaire en couleur et propriétés optiques à l'émail.


Avantages:
- Budget.
- Rapide. Vous pouvez restaurer les dents en 1 visite.
- Esthétiquement. La restauration correspond à la forme et à la couleur des dents.


Moins :
- Changement de couleur. Au fil du temps, le composite absorbe les colorants des aliments et des boissons.
- Durée de vie. Doit être changé tous les 3 à 5 ans.
— Durabilité. Plus facile à endommager qu'une restauration indirecte.
Ils sont fabriqués en laboratoire selon votre empreinte et fixés sur les dents à l'aide d'un composite dentaire. L'épaisseur de la plaque est de 0,3 à 0,5 mm.
La céramique est un matériau qui se rapproche le plus possible des tissus naturels. Il reproduit au mieux les caractéristiques des dents.


Étapes d'installation des facettes en céramique à Barcelone :

enlever une fine couche d'émail
nous scannons les dents
pose de facettes temporaires pour protéger les dents
nous sélectionnons la teinte et la forme des nouvelles dents fabriquées en laboratoire
fixer le revêtement en céramique sur la surface de la dent

Avantages:
- Esthétique. La céramique est translucide et imite la texture naturelle. De plus, chaque placage a des transitions et une profondeur de couleur.
- Biocompatibilité. Ne provoque pas d'allergies.
- Durée de vie. Les facettes durent plus de 15 ans.
— Sauvegarde des propriétés. Et après 5 ans d'utilisation, les facettes ont l'air neuves.
- N'absorbe pas les colorants et ne rétrécit pas pendant tout le service.
- Préparation minimale.

Moins :
- Le coût est plus élevé que celui des facettes composites.

COMMENT PROLONGER LA DUREE DE VIE DES RESTAURATIONS ?

- se brosser les dents régulièrement, utiliser des produits d'hygiène complémentaires (irrigateur et fil dentaire)
– deux fois par an pour venir à l’hygiène professionnelle
– éviter les charges ponctuelles. Vous ne pouvez pas : ronger des coquilles de noix, ouvrir des bouteilles avec vos dents, mordre le fil.

À la clinique dentaire Corona :

nous travaillons chaque dent dans les moindres détails
choisissez la couleur du blanc naturel au blanc parfait
préparation minimale de l'émail
préserver la beauté naturelle d'un sourire

Questions et réponses - Facettes en céramique

Que sont les placages?

Les placages sont des microprothèses modernes d'une épaisseur de 0,2-0,7 mm en céramique ou en composite, que le médecin fixe sur la surface antérieure des dents. Cette technologie est apparue dans les années 1920 à Hollywood, où les acteurs devaient obtenir le sourire parfait pour le tournage.

Les placages composites sont fabriqués directement dans la bouche du patient en une seule visite. Le dentiste applique un matériau spécial en couches, formant l'anatomie correcte de la dent.

Les placages en céramique sont créés en laboratoire en utilisant des technologies modernes. Après la préparation des dents, le médecin enlève les moulages et les envoie au technicien dentaire. Le processus de fabrication prend 7-10 jours.

Les luminars sont des Revêtements ultra-minces de fabrication américaine. Leur principal avantage est que l'installation passe souvent sans tournage de l'émail, ce qui rend la procédure réversible.

Indications pour l'installation: si le patient veut cacher les taches tenaces de la tétracycline, les copeaux après les blessures, les petites fentes entre les dents ou corriger les irrégularités — les placages seront la solution optimale. 

Processus de traitement: l'examen Initial comprend l'analyse des données médicales, l'évaluation de la morsure et de l'état général de la cavité buccale. 

L'installation de placages permanents nécessite un travail précis — le spécialiste doit préparer correctement la surface de la dent et assurer un ajustement parfait de la doublure. Les résultats raviront le patient pendant de nombreuses années tout en respectant les recommandations de soins.

Soumettre une demande et prendre rendez-vous

Il existe des contre-indications pour tous les services de la clinique, un avis d'expert est nécessaire.
Corona Syrrus S.L.
CIF B67154021
Registro sanitario E08706004
En soumettant un formulaire sur le site, vous acceptez la politique de confidentialité. Toute information sur le site n'est pas une offre publique.
x